¿Sabías cuántos huesos tiene un caballo? Estas majestuosas criaturas de cuatro patas poseen una estructura ósea impresionante. Desde su imponente columna vertebral hasta sus delicados cascos, cada hueso desempeña un papel crucial en su movimiento y resistencia. En este artículo, descubrirás la fascinante anatomía equina y aprenderás sobre la cantidad exacta de huesos que conforman a estos extraordinarios animales. ¡Prepárate para adentrarte en el mundo esquelético de los caballos! No te pierdas esta oportunidad única de ampliar tus conocimientos sobre estos seres tan especiales!
Descubre el valor y duración de los huesos en un caballo
En un caballo, los huesos juegan un papel fundamental en su estructura y funcionalidad. Son responsables de proporcionar soporte, protección y movimiento al cuerpo del animal.
El valor de los huesos en un caballo radica en su resistencia y durabilidad. Los huesos son tejidos duros que pueden soportar grandes cargas y tensiones sin romperse fácilmente. Esto es especialmente importante para los caballos, ya que realizan actividades físicas intensas como saltar obstáculos o correr a altas velocidades.
La duración de los huesos en un caballo varía dependiendo de varios factores, incluyendo la genética, el cuidado adecuado y la actividad física del animal. En general, se considera que los huesos de un caballo tienen una vida útil promedio de 25 a 30 años.
Es importante destacar que el cuidado adecuado es fundamental para mantener la salud ósea del caballo. Una alimentación equilibrada rica en minerales como calcio y fósforo ayuda a fortalecer los huesos y prevenir enfermedades óseas como la osteoporosis equina.
En resumen, los huesos tienen un gran valor en un caballo debido a su resistencia y capacidad para proporcionar soporte estructural al cuerpo del animal. La duración de estos dependerá de varios factores pero con el cuidado adecuado pueden tener una vida útil prolongada.
¿Cuál es la cantidad de huesos que tiene una yegua?
Una yegua adulta tiene aproximadamente 205 huesos. Estos incluyen los huesos del cráneo, columna vertebral, costillas, extremidades anteriores y posteriores. Es importante destacar que la cantidad de huesos puede variar ligeramente dependiendo del individuo y su edad.
¿Hay la misma cantidad de huesos en todos los caballos?
No, no todos los caballos tienen la misma cantidad de huesos. Al igual que en los seres humanos, la estructura ósea de los caballos puede variar. Un caballo adulto promedio tiene alrededor de 205 huesos, pero esta cifra puede fluctuar ligeramente dependiendo del tamaño y raza del animal. Además, algunos caballos pueden tener huesos adicionales debido a condiciones genéticas o anomalías óseas. Por lo tanto, es importante considerar estas diferencias anatómicas al evaluar el precio, duración y valor de productos y servicios relacionados con la salud equina.
¿Cuál es la estructura ósea de un caballo?
La estructura ósea de un caballo es fundamental para su correcto funcionamiento y rendimiento físico. El esqueleto del caballo está formado por aproximadamente 205 huesos, que se dividen en diferentes regiones.
En la cabeza del caballo, encontramos el cráneo, compuesto por varios huesos que protegen el cerebro y los órganos sensoriales como los ojos, las orejas y las fosas nasales. También se encuentra la mandíbula inferior, donde se ubican los dientes.
El cuello del caballo está formado por siete vértebras cervicales que permiten su movimiento flexible. Estas vértebras están conectadas a la cabeza y al tronco.
En el tronco del caballo, encontramos varias costillas que protegen los órganos internos, como el corazón y los pulmones. Además, se encuentran las vértebras torácicas (dorsales), que están unidas a las costillas.
Las extremidades anteriores del caballo están formadas por huesos largos como el húmero en la parte superior, seguido de dos huesos más pequeños llamados radio y cúbito en el antebrazo. Luego continúa con una serie de metacarpianos o caña hasta llegar a los cascos.
Las extremidades posteriores del caballo tienen una estructura similar a las anteriores: fémur en la parte superior, seguido de tibia y peroné en la pierna trasera. Después vienen metatarsianos o caña hasta llegar también a los cascos.
Además de estos huesos principales, también existen otros en el esqueleto del caballo como las vértebras lumbares y sacras en la espalda, los huesos de la pelvis y los huesos del tarso y metatarso en las patas traseras.
La estructura ósea del caballo es fundamental para su correcto funcionamiento y movilidad. Un buen cuidado de sus huesos y articulaciones a través de una alimentación adecuada, ejercicio regular y atención veterinaria contribuirá a mantener al caballo en buena forma física durante mucho tiempo.
¿Cuántas costillas tiene un caballo?
En el contexto de un blog de información sobre precios, duración y valor de productos y servicios, la pregunta sobre cuántas costillas tiene un caballo puede parecer fuera de lugar. Sin embargo, es importante recordar que la diversidad temática en los blogs es amplia y a veces surgen preguntas curiosas.
Un caballo adulto generalmente tiene 18 pares de costillas. Estas costillas están diseñadas para proteger los órganos internos del caballo, como el corazón y los pulmones. Las costillas se extienden desde la columna vertebral hasta el esternón, formando una estructura sólida pero flexible.
Esperamos que esta respuesta haya resuelto tu curiosidad acerca del número de costillas en un caballo. Recuerda que si tienes más preguntas relacionadas con precios, duración o valor de productos y servicios, estamos aquí para ayudarte.
Preguntas Frecuentes:
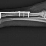
¿Cuánto cuesta un tratamiento veterinario para fracturas de huesos en caballos?
El costo de un tratamiento veterinario para fracturas de huesos en caballos puede variar dependiendo del tipo y gravedad de la lesión, así como de la región geográfica. Es recomendable contactar a un veterinario especializado para obtener una cotización precisa.
¿Cuál es la duración promedio de una cirugía para corregir fracturas óseas en caballos?
La duración promedio de una cirugía para corregir fracturas óseas en caballos puede variar dependiendo del tipo y gravedad de la fractura, pero generalmente puede durar entre 2 a 4 horas.
¿Qué valor agregado ofrece un servicio de fisioterapia especializado para recuperar lesiones óseas en caballos?
El valor agregado de un servicio de fisioterapia especializado para recuperar lesiones óseas en caballos radica en la experiencia y conocimientos del profesional, así como en las técnicas y equipos utilizados. Este tipo de servicio brinda un tratamiento personalizado adaptado a las necesidades específicas del caballo, lo cual garantiza una mayor efectividad en su recuperación. Además, permite acelerar el proceso de curación, reducir el tiempo de reposo y minimizar posibles secuelas o complicaciones. Todo esto contribuye a optimizar el rendimiento del animal y asegurar su bienestar a largo plazo.
En conclusión, un caballo adulto tiene aproximadamente 205 huesos. Conocer la anatomía de estos animales nos ayuda a entender mejor su funcionamiento y valorar aún más su belleza y resistencia. ¡Hasta pronto, apasionados del mundo equino!










